Tumors
Tumors
Tumors
Tumors
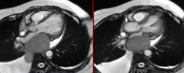
This 57-years old presented with acute chest pain. She was diagnosed to have a non-STEMI infarct. Coronary angiography and echo were done. Based on the echo findings, an MRI was done, which uncovered a myriad of findings. The video explains the rest. Do Subscribe to View - It's
An unusual cause of a double-chambered left ventricle
Tumors
Tumors
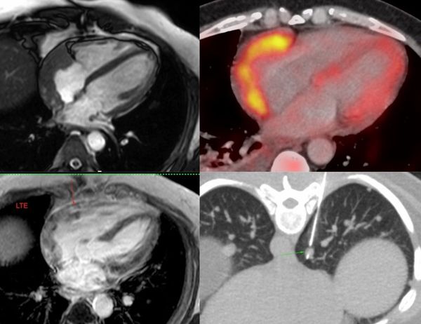
Multiparametric mapping and CT scan help in the diagnosis of cardiac masses
Tumors
The stone valve
Tumors
Tumors