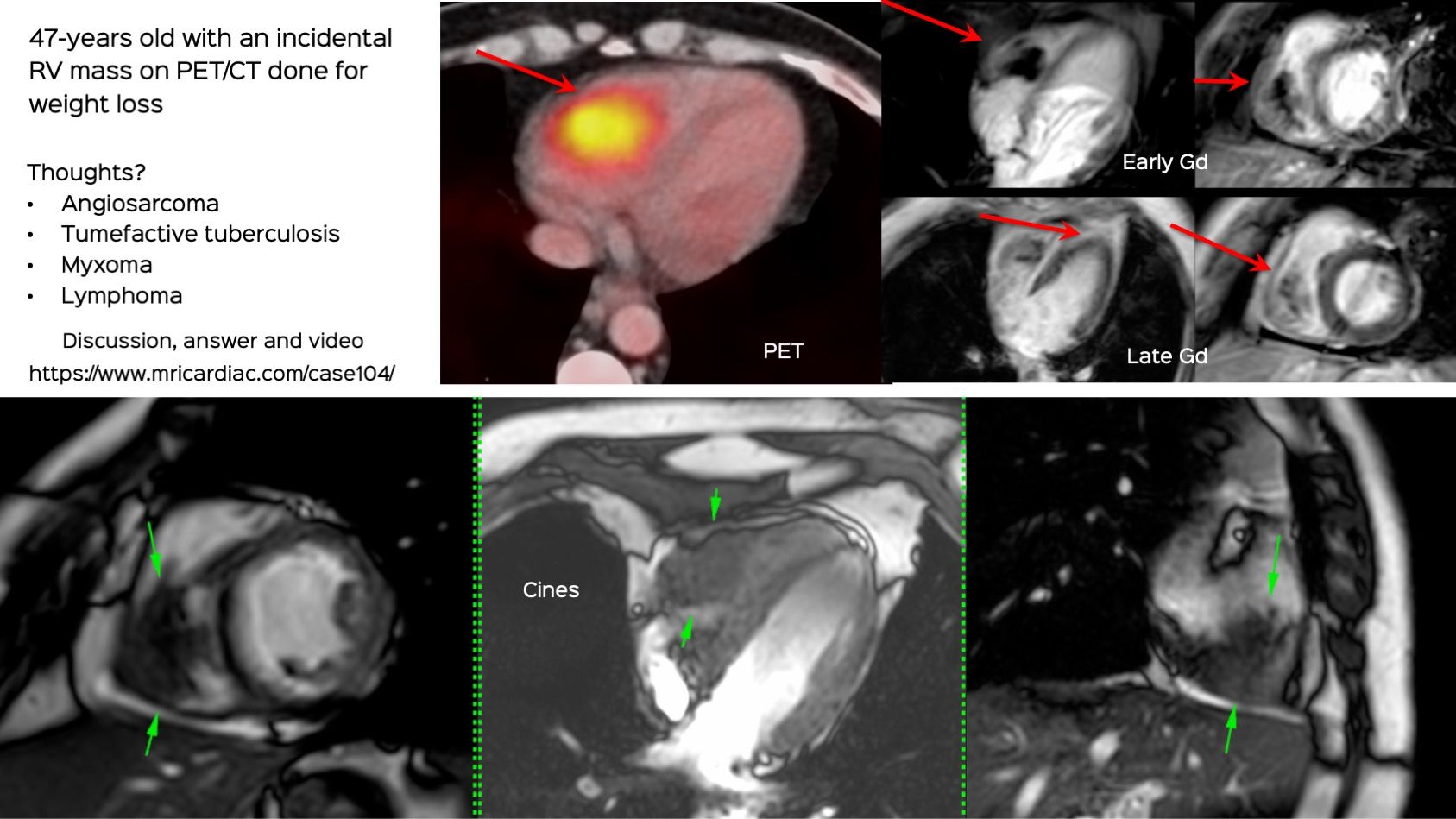
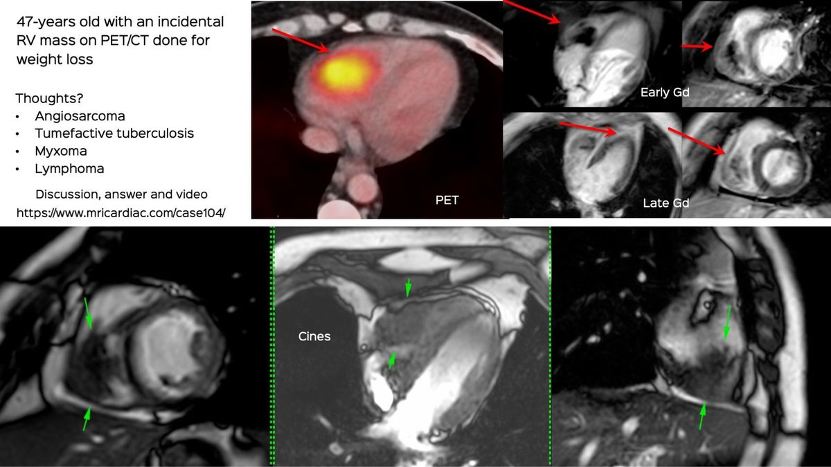
Case 104: The RV Mass Conundrum
RA and RV tumors have a typical differential diagnosis and have to be aggressively evaluated for etiology
This 47-years old man was found to have a mass on a PET/CT done for weight loss, in the right ventricle.

What do you think the diagnosis is?
The video discussed the case and the differentials and what the final outcome was.