The Value of Extracellular Volume (ECV) in ATTR - Transthyretin Amyloidosis
Cardiac MRI is a useful tool to diagnose amyloidosis. T1 mapping has become a mainstay, both native and ECV measurements. ECV measurement can now help quantify the amyloidosis burden and may help guide treatment based on how the ECV responds to specific treatment measures.
The Heart Under Siege !
MINOCA Masquerade
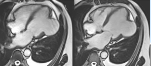
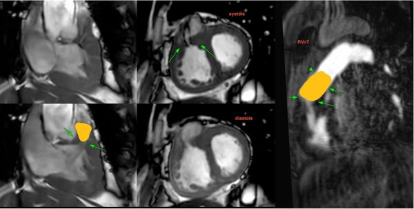
COD 158 - Septum Predominant HCM and RVoTo
RVoTo involvement in HCM is uncommon but diagnosing it may change the management plan and prognosis
Not in Sync anymore..!
A common clinical presentation of LBBB induced cardiomyopathy is described in this post. It is always dilemma that if LBBB is cause or effect of dilated cardiomyopathy. However CMR can help in differentiating it from other causes and also in predicting response to device therapy. Utilise CMR to the fullest.
Hope it fades..!
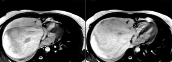
COD 077 - Decoding Septum Predominant Hypertrophic Cardiomyopathy
Understanding standard septum predominant HCM
Thick shell around heart!
Case 229: Infective Endocarditis and Vegetations
Cardiac MRI does not show vegetations, easily especially if small. However, evaluating the transaxials through the valve may help pick up small nodules and to rule out mimics.
Follow the flow..!