Case 117: The Tip of the Iceberg - II
Sometimes, the heart is just one of the organs involved and a cardiac MRI or CT can start a cascade leading to the final diagnosis.
The first "Tip of the Iceberg" case was this.
When It’s Just the Tip of the Iceberg
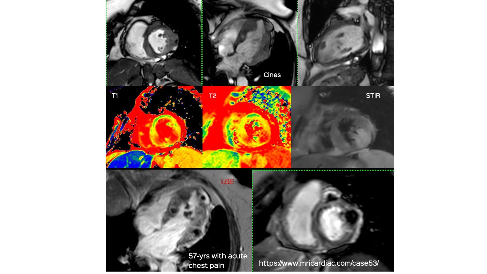
This 57-years old presented with acute chest pain. She was diagnosed to have a non-STEMI infarct. Coronary angiography and echo were done. Based on the echo findings, an MRI was done, which uncovered a myriad of findings. The video explains the rest. Do Subscribe to View - It’s Free

Today's case is about a 50-years old patient with pericardial effusion for 13 years, who came for a cardiac MRI, which showed a right atrial and interatrial septal mass with pericardial soft tissue and coronary artery encasement.

This led to a PET/CT and a biopsy and an unusual diagnosis.