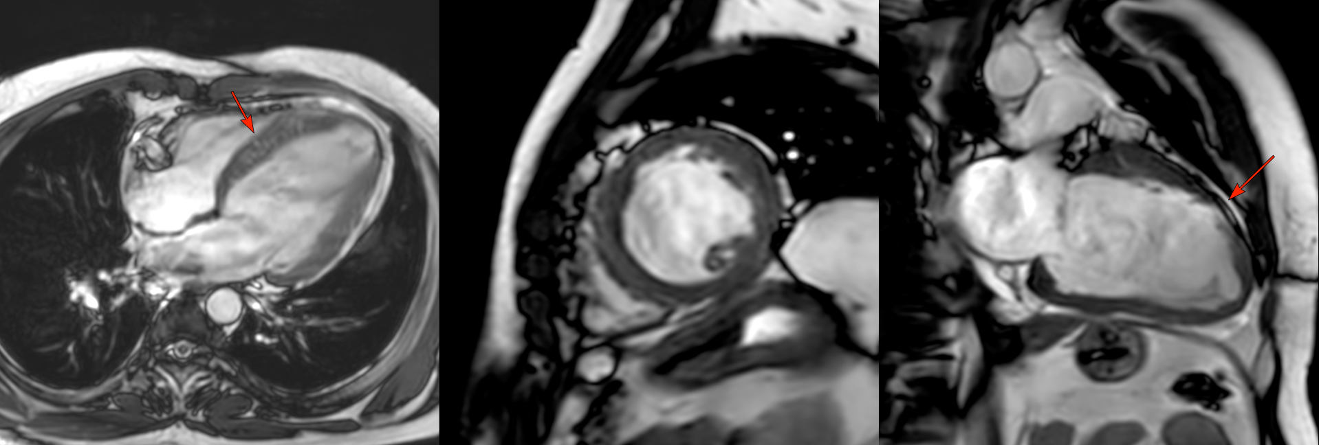
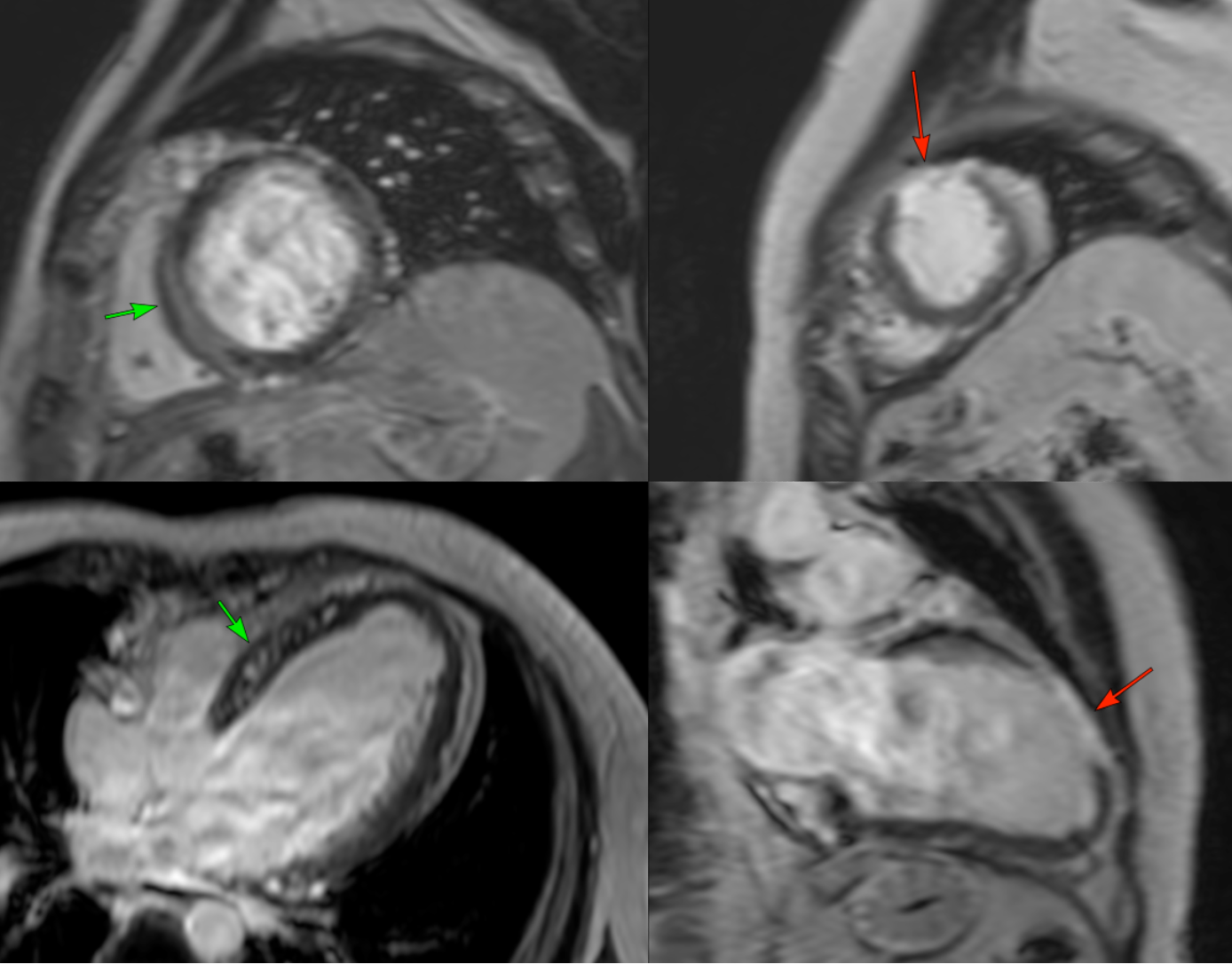
Case 242 - Dot-Like Myocardial Septal Enhancement
An unusual pattern of dot-like enhancement on 4C in the septum should alert us to look for this condition on CMR (prominent vessels, collateral vessels, infarcts) and altered patterns of perfusion and ischemia on stress CMR
30-years old had clinical evidence of ischemia and angiography showed a specific anomaly. He was sent for a stress cardiac MRI.


The stress perfusion shows inducible ischemia in the LAD territory, but the rest perfusion showed interesting findings as below.

- Linear and dot-like signal and enhancement in septum on 4C
- Scar - mid and apical anterior wall
- Mid-myocardial linear enhancement
- Ischemia at rest in the septum with inducible ischemia in other segments of the LAD territory
- Retrograde filling of the LAD via collaterals
The video describes the case, the findings and the final diagnosis.
Click here if you don't see the link below.
Previous Posts
COD 175 - When a Mother’s Large Heart Becomes Normal
Peripartum cardiomyopathy is a complex condition where CMR has a role to play

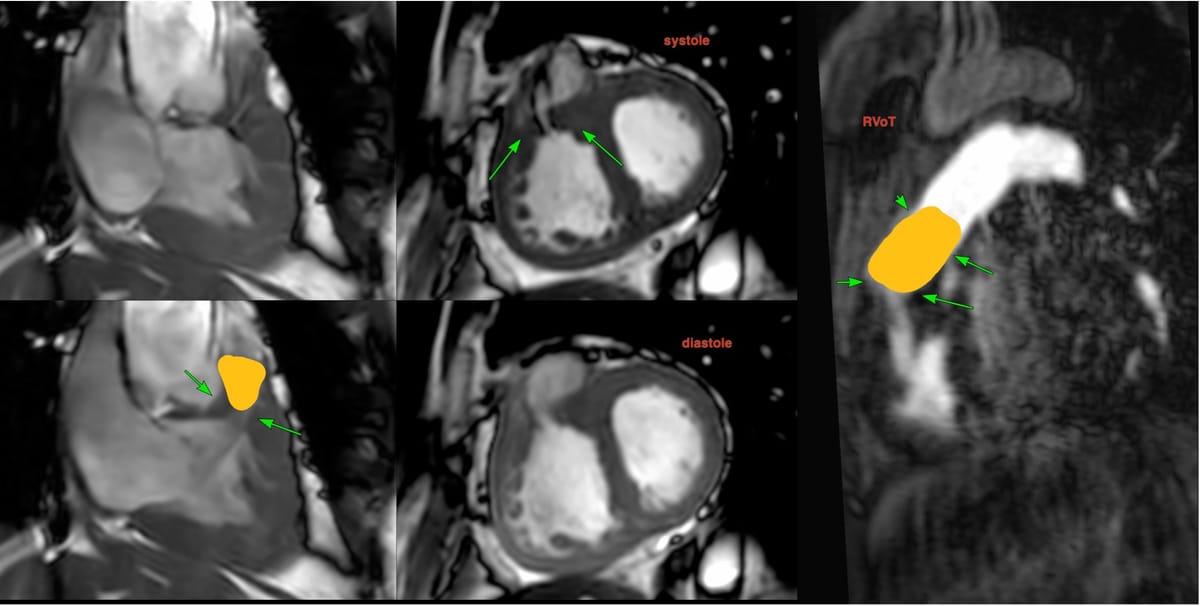
The DCRV Enigma
Cardiac MRI is an important tool to diagnose adult congenital heart disease including double-chambered RV

Case of the Day on YouTube
My New Book - Now Also with a Kindle Version
The Book - Atmasvasth - A Guide to Ageing Healthfully
A 15-point guide to living long, healthy



