The DCRV Enigma
Cardiac MRI is an important tool to diagnose adult congenital heart disease including double-chambered RV
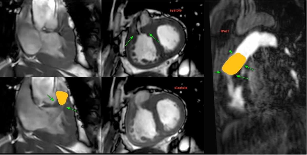
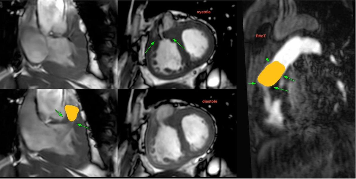
51-years old with giddiness every morning on waking up.
Echo showed RV changes.
Cardiac MRI shows marked RV hypertrophy, the cause of which is abnormal musculature in the subpulmonic region, dividing the heart into a high-pressure proximal chamber and a low-pressure distal chamber, a double-chambered right ventricle or DCRV.
In this case, there are abnormal septo-parietal and septo-marginal trabeculae causing the stenosis.
To know each time a new post is up
Video
Related Case

Previous Post - Bhavin

Previous Post - Priya



