Cardiomyopathy
Cardiomyopathy
Infiltrative Cardiomyopathy
Granulomatous Cardiomyopathy
Cardiomyopathy
Cardiomyopathy
Cardiomyopathy
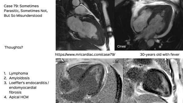
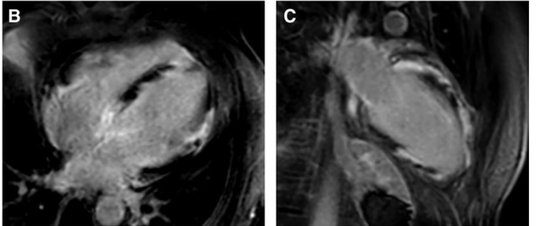
A subendocardial membrane is a distinctive sign of this condition
Cardiomyopathy
The new 2020 Padua criteria explained
Cardiomyopathy
Cardiomyopathy
Cardiomyopathy
Cardiomyopathy
Cardiomyopathy
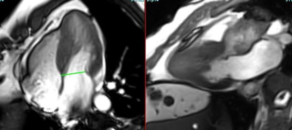
A large heart in a young mother
Cardiomyopathy
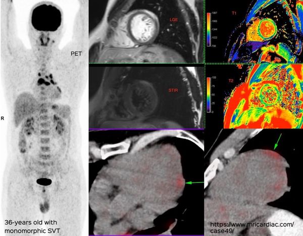
Granulomatous Cardiomyopathy
Combined CMR and PET/CT give synergistic information in patients with granulomatous cardiomyopathy
Cardiomyopathy
Cardiomyopathy