mricardiac.com
  • Home
  • Topics Published
  • About
  • Author
  • Contact Us
  • Learn More
Sign in Subscribe
Cardiomyopathy

HCM with LVOT obstruction

Priya Chudgar

Priya Chudgar

Mar 30, 2023
HCM with LVOT obstruction

This post is for subscribers only

Subscribe now

Already have an account? Sign in

Read more

The Value of Extracellular Volume (ECV) in ATTR - Transthyretin Amyloidosis

The Value of Extracellular Volume (ECV) in ATTR - Transthyretin Amyloidosis

Cardiac MRI is a useful tool to diagnose amyloidosis. T1 mapping has become a mainstay, both native and ECV measurements. ECV measurement can now help quantify the amyloidosis burden and may help guide treatment based on how the ECV responds to specific treatment measures.

By Bhavin Jankharia Feb 12, 2026
The Heart Under Siege !

The Heart Under Siege !

By Priya Chudgar Feb 5, 2026
MINOCA Masquerade

MINOCA Masquerade

By Priya Chudgar Jan 29, 2026
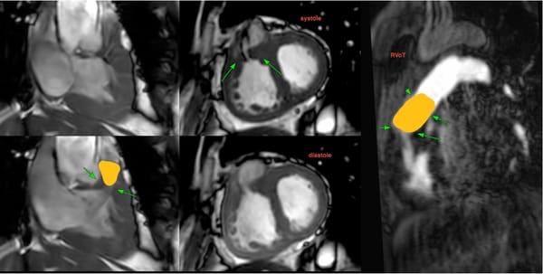
COD 158 - Septum Predominant HCM and RVoTo

COD 158 - Septum Predominant HCM and RVoTo

RVoTo involvement in HCM is uncommon but diagnosing it may change the management plan and prognosis

By Bhavin Jankharia Jan 26, 2026
mricardiac.com
  • Data & privacy
  • Contribute
Powered by Ghost

mricardiac.com

Case based learning of Cardiac MRI