Amyloidosis
Amyloidosis
Non-Ischemic Cardiomyopathy
Cardiomyopathy
Cardiomyopathy
Cardiomyopathy
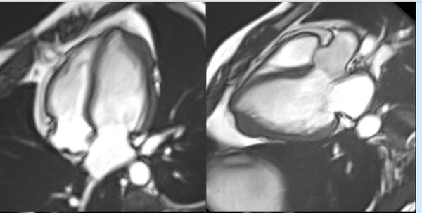
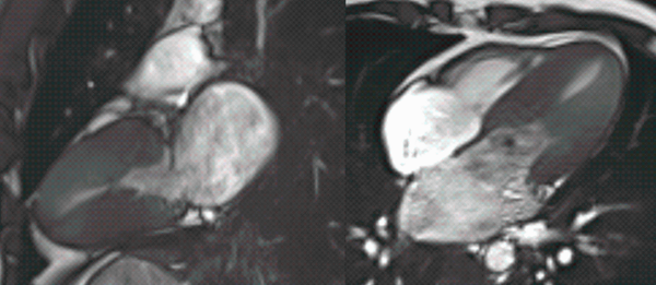
A common clinical presentation of LBBB induced cardiomyopathy is described in this post. It is always dilemma that if LBBB is cause or effect of dilated cardiomyopathy. However CMR can help in differentiating it from other causes and also in predicting response to device therapy. Utilise CMR to the fullest.
Cardiomyopathy
Cardiomyopathy
Cardiomyopathy
Cardiomyopathy
Cardiomyopathy
Cardiomyopathy
Cardiomyopathy
Granulomatous Cardiomyopathy
Genetics
Cardiomyopathy
Cardiomyopathy