mricardiac.com
  • Home
  • Topics Published
  • About
  • Author
  • Contact Us
  • Learn More
Sign in Subscribe
Cardiomyopathy

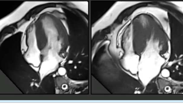
New CMR indication in HCM management.

Priya Chudgar

Priya Chudgar

Dec 4, 2025
New CMR indication in HCM management.

This post is for subscribers only

Subscribe now

Already have an account? Sign in

Read more

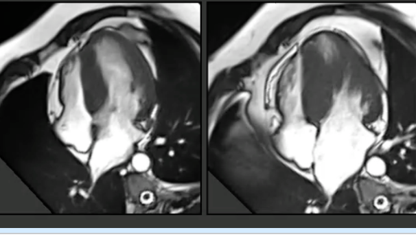
COD 077 - Decoding Septum Predominant Hypertrophic Cardiomyopathy

COD 077 - Decoding Septum Predominant Hypertrophic Cardiomyopathy

Understanding standard septum predominant HCM

By Bhavin Jankharia Jan 11, 2026
Thick shell around heart!

Thick shell around heart!

By Priya Chudgar Jan 8, 2026
Case 229: Infective Endocarditis and Vegetations

Case 229: Infective Endocarditis and Vegetations

Cardiac MRI does not show vegetations, easily especially if small. However, evaluating the transaxials through the valve may help pick up small nodules and to rule out mimics.

By Bhavin Jankharia Jan 1, 2026
Follow the flow..!

Follow the flow..!

By Priya Chudgar Dec 25, 2025
mricardiac.com
  • Data & privacy
  • Contribute
Powered by Ghost

mricardiac.com

Case based learning of Cardiac MRI