Home
Topics Published
About
Author
Contact Us
Learn More
Sign in
Subscribe
Aneursym
Aneursym
Bulge that can burst!
Infarcts
Snippet: Mechanical Complications of Acute Infarction
Aneursym
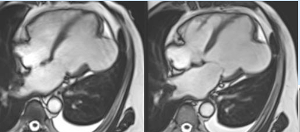
Congenital LV aneurysm
Aneursym
Apical HCM- Revisited
Aneursym
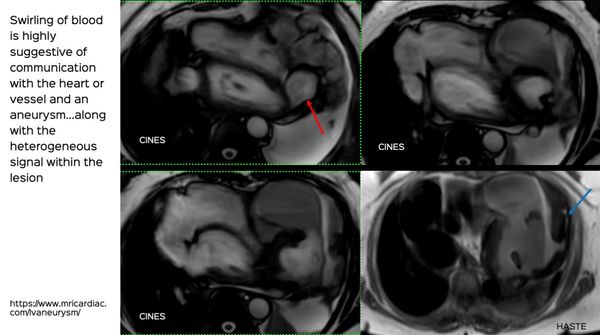
Multimodality Imaging of an LV Aneurysm
A complex long-standing, slow growing LV aneurysm
Aneursym
LV aneurysm