Cardiomyopathy
Cardiomyopathy
Cardiomyopathy
Dilated cardiomyopathy
Infarcts
Aneursym
Non-Ischemic Cardiomyopathy
A lecture describing the role of CMR in the various non-ischemic cardiomyopathies
Cardiomyopathy
Cardiomyopathy
Granulomatous Cardiomyopathy
Article
Genetics
Genetics
Cardiomyopathy
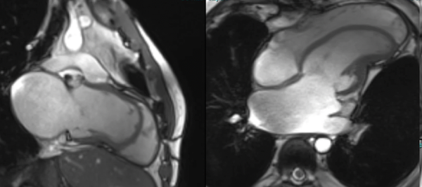
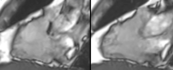
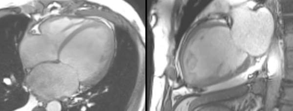
HCM
Cardiomyopathy