Case 170: Heart of Stone
Calcification in different parts of the heart can help with diagnosis and prognostication
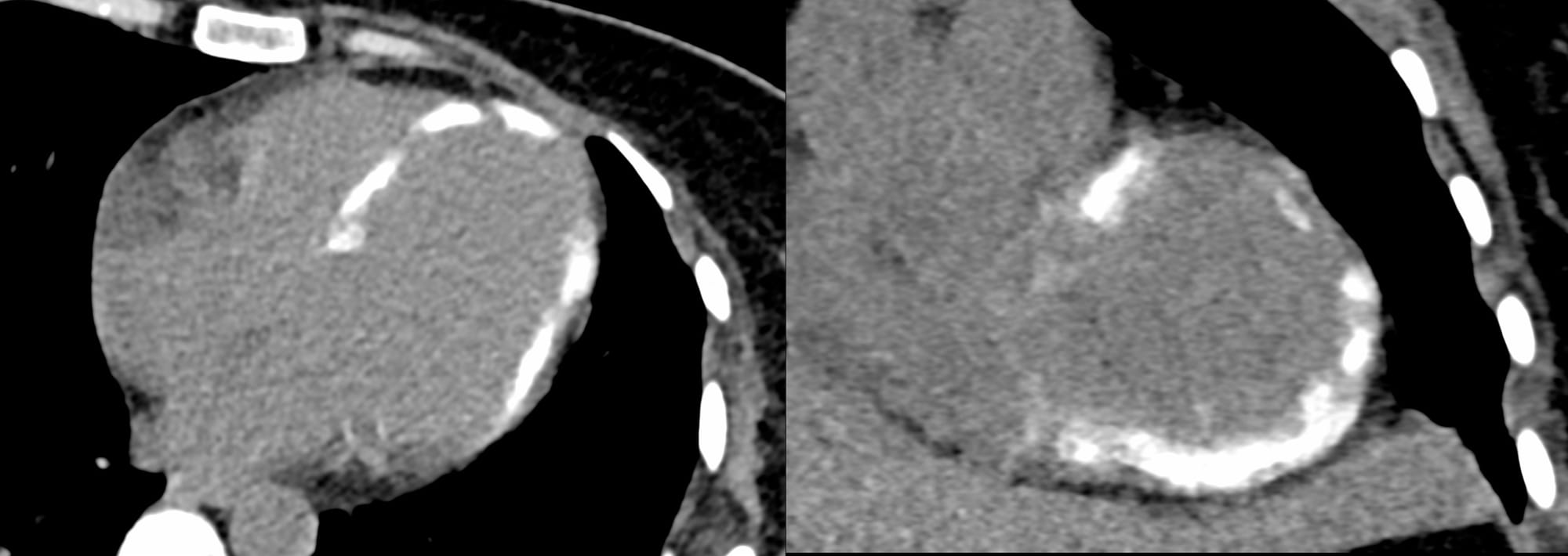
A 45-years old came for a chest and abdominal CT for abdominal complaints and this was found.

Diffuse myocardial calcification is unusual and the patient had a history of a near-death experience due to sepsis with multi-organ failure.
The video below explains the case, and the different causes of myocardial calcification and then discusses the other causes of calcification in the heart (pericardial, other myocardial, valvular, intra-luminal and coronary).