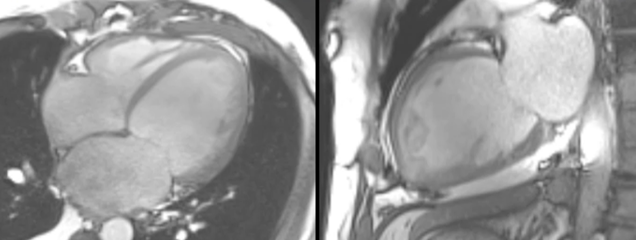
Case 114: "Ring-Like" Enhancement
"Ring-like" enhancement lowers the threshold for genetic testing in patients with dilated cardiomyopathy.
This pattern of enhancement has started receiving some attention because of its association with both inflammatory and genetic conditions, in patients with dilated cardiomyopathy.
The primary focus is to understand those signs, like excessive trabeculation and now, "ring-like" enhancement that should lower our threshold for genetic testing in patients with dilated cardomyopathy.

The video discusses the definition and further evaluation of patients with "ring-like" enhancement