Cardiomyopathy
Cardiomyopathy
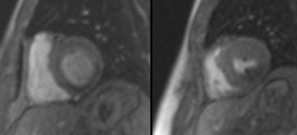
Stress Perfusion CMR
Stress Perfusion CMR
Stress Perfusion CMR
Infarcts
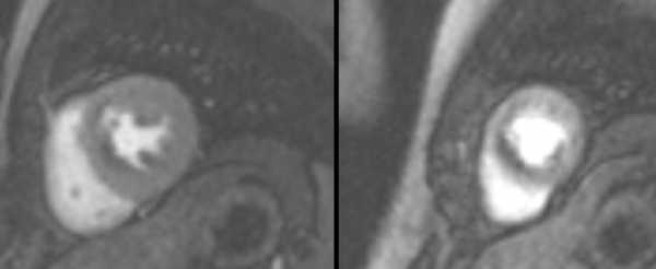
Hypertrophic Cardiomyopathy
Adenosine stress CMR can diagnosis microvascular ischemia/dysfunction in patients with hypertrophic cardiomyopathy
Stress Perfusion CMR
Stress Perfusion CMR
Stress Perfusion CMR
Ischaemic HD
Stress Perfusion CMR
Ischaemic HD
Stress Perfusion CMR
Ischaemic HD
Stress Perfusion CMR
Adenosine stress perfusion CMR is a powerful tool to predict present and future events