Amyloidosis
Amyloidosis
Amyloidosis
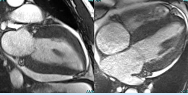
Cardiac MRI is a useful tool to diagnose amyloidosis. T1 mapping has become a mainstay, both native and ECV measurements. ECV measurement can now help quantify the amyloidosis burden and may help guide treatment based on how the ECV responds to specific treatment measures.
Amyloidosis
Amyloidosis
Amyloidosis
It is not just cardiac MRI and cardiac CT that give us clues to a cardiac pathology. We should look at the heart on any cross-sectional thoracic study.
Amyloidosis