Case of the Day 126 - Unexplained Pulmonary Hypertension Decoded
In patients with PH, radiologists can make a difference in identifying a few pathologies as causes of PH (leaving aside known cardiac and pulmonary diseases, where the conditions are already known). We should not miss these, especially shunts.
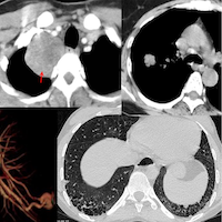
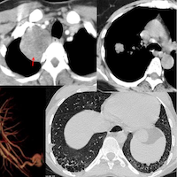
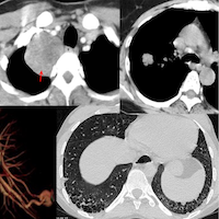
65-yrs old with PH and RV dysfunction for evaluation. Initially considered for edge-to-edge tricuspid repair.
CMR showed a cause of the PH, which could potentially change management.
The video below describes the case and our role as radiologists in identifying potentially treatable causes of PH, adding to this snippet that I had recorded earlier
Snippet 24: The Radiologist’s Role in Pulmonary Hypertension
What is our role as radiologists in the diagnosis of pulmonary hypertension (PH) and its causes.

To know each time a new post is up
